Reviews for Dr. Eva Sokal
Write a reviewHours
Monday: 10:00 AM - 6:00 PM
Tuesday: 10:00 AM - 6:00 PM
Wednesday: 11:00 AM - 6:00 PM
Thursday: 10:00 AM - 6:00 PM
Friday: ClosedSaturday: 10:00 AM - 4:00 PM
Sunday: Closed
Tips
accepts credit cards accepts insurance




My Dentist is retiring.. So I decided to give Eurordental a try. I was the last appointment of the day and had a emergency and they took me the same day!. The doctor was extremely nice and most important professional. The office is clean and Modern...the staff was amazing.. I rarely give 5 star ratings but this business deserves it 100%... They also took my insurance...my tooth already feels better . Thank you Eurodental. Billy Leroy Host of Billy Buys Brooklyn. MAX Channel
Marvelous and impressive dental practice! It is my first visit today coming to the clinic for routine dental cleaning and check up. The clinic is clean, organized and gives you a wave of calm. Staff were friendly and helpful too. Dental hygienist did a great job taking my tooth X rays- she took 7 of them, it was seamless, painless and quick! I am extremely satisfied with the care Dr Lander and his team provided to me. He is patient, thorough, educational, never tired of answering the endless questions from me, and pays great attention to every detail of my oral health. He explained to me different dental conditions and their pathology, also referring me to my X Ray images to help me understand how I can prevent these conditions from happening to me. I can see he is big on patient education as he wants his patients to have the best oral health! I've never met a dentist like him in my life who really takes the time to explain things to his patients, helping them to become motivated in their own preventative oral care in order to achieve the best health outcomes. Lots of demonstration during my visit and he even took a regular floss to show me proper flossing and completed the entire flossing. I can go on forever - just know that this is a dentist who truly cares about his patients and takes pride in his craft! The best dentist I've ever come across in my life. I'll be back! Highly recommend!!!
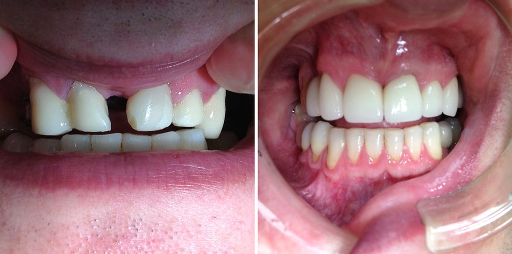
I saw Dr. Lander and had a great experience. He helped me out w a chipped tooth on a Saturday. He took time to review my X-rays with me and he explained everything he was doing. The office is very clean and all of the staff were very helpful and nice.